Brotkrumen-Navigation
Schnappen Sie sich Ihre ATF-Stunden!
![]() |
Online-Lernprogramm
![]() |
PhonoBasics: Auskultation des Herzens bei Hund und Katze
![]() |
Auskultation des Herzens bei Hund und Katze
Das intuitive Lernprogramm PhonoBasics behandelt ausführlich und umfassend die Herz-Auskultation bei Hunden und Katzen. Physiologische und pathologische Herztöne sowie die wichtigsten Herzgeräusche und hörbare Arrhythmien werden ausführlich vorgestellt. Zahlreiche Auskultationsbeispiele demonstrieren die klinische Bandbreite und festigen die eigenen Erfahrungen.
Herausgeberin: Univ.-Prof. Dr. Cordula Poulsen Nautrup (†)
Ehemals: Angewandte Anatomie im Lehrstuhl Anatomie, Histologie und Embryologie Veterinärwissenschaftliches Department
Ludwig-Maximilians-Universität München
Autorin: Bea Alice Löhr
Ehemals: Angewandte Anatomie im Lehrstuhl Anatomie, Histologie und Embryologie Veterinärwissenschaftliches Department
Ludwig-Maximilians-Universität München
Autorin: Bea Alice Löhr
![]() |
SonoBasics: Abdominale Sonografie bei Hund und Katze
![]() |
Abdominale Sonografie bei Hund und Katze - Modul 1-7: Abdominale Sonografie leicht gemacht!
Das intuitive Lernprogramm SonoBasics behandelt die Grundlagen der abdominalen Ultraschalldiagnostik bei Hunden und Katzen. Zahlreiche detailliert beschriftete Bilder und Filmsequenzen demonstrieren die zweidimensionale abdominale Sonografie, inklusive der Dopplerverfahren. In diesem Lernprogramm sind die Module 1 bis 7 enthalten. Alle Module sind auch einzeln buchbar.
Herausgeberin: Univ.-Prof. Dr. Cordula Poulsen Nautrup (†)
Ehemals: Angewandte Anatomie im Lehrstuhl Anatomie, Histologie und Embryologie Veterinärwissenschaftliches Department
Ludwig-Maximilians-Universität München
Autorinnen: Dr. Annette Bruder (6.2 und 7), Dr. Jeannette Cremer (5 und 6.1), Dr. Nina Gögelein (geb. Weißflog) (2), Dr. Verena Hocke (3 und 4), Dr. Nicola Streck (1), Univ.-Prof. Dr. Cordula Poulsen Nautrup (7)
Ehemals: Angewandte Anatomie im Lehrstuhl Anatomie, Histologie und Embryologie Veterinärwissenschaftliches Department
Ludwig-Maximilians-Universität München
Autorinnen: Dr. Annette Bruder (6.2 und 7), Dr. Jeannette Cremer (5 und 6.1), Dr. Nina Gögelein (geb. Weißflog) (2), Dr. Verena Hocke (3 und 4), Dr. Nicola Streck (1), Univ.-Prof. Dr. Cordula Poulsen Nautrup (7)
![]() |
Abdominale Sonografie bei Hund und Katze - Modul 1: Physikalisch-technische Grundlagen der Sonografie und Artefakte
Dieses Modul beschreibt die Grundlagen der verschiedenen B-Bildverfahren (2D-, 3D-, M-Mode) und Dopplertechniken (CW-, PW-, Power-Doppler) sowie die Kombination dieser Verfahren als Duplexsonografie.
Herausgeberin: Univ.-Prof. Dr. Cordula Poulsen Nautrup (†)
Ehemals: Angewandte Anatomie im Lehrstuhl Anatomie, Histologie und Embryologie Veterinärwissenschaftliches Department
Ludwig-Maximilians-Universität München
Autorin: Dr. Nicola Streck
Ehemals: Angewandte Anatomie im Lehrstuhl Anatomie, Histologie und Embryologie Veterinärwissenschaftliches Department
Ludwig-Maximilians-Universität München
Autorin: Dr. Nicola Streck
![]() |
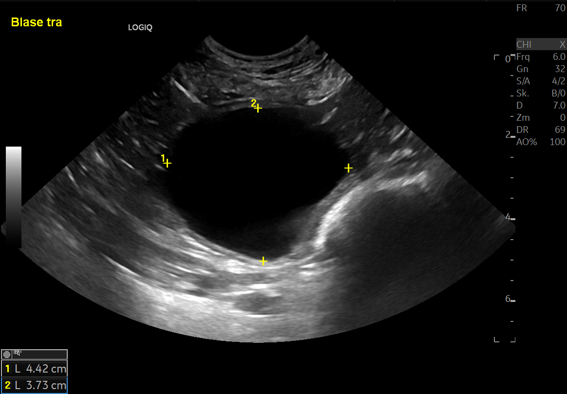
Abdominale Sonografie bei Hund und Katze - Modul 2: Ultraschalluntersuchung von Harnblase, Nieren und Nebennieren
Die sonografische Untersuchung von Harnblase, Nieren und Nebennieren bei Hund und Katze wird jeweils anhand folgender Kriterien ausführlich erklärt und demonstriert
Herausgeberin: Univ.-Prof. Dr. Cordula Poulsen Nautrup (†)
Ehemals: Angewandte Anatomie im Lehrstuhl Anatomie, Histologie und Embryologie Veterinärwissenschaftliches Department
Ludwig-Maximilians-Universität München
Autorin: Dr. Nina Gögelein (geb. Weißflog)
Ehemals: Angewandte Anatomie im Lehrstuhl Anatomie, Histologie und Embryologie Veterinärwissenschaftliches Department
Ludwig-Maximilians-Universität München
Autorin: Dr. Nina Gögelein (geb. Weißflog)
![]() |
Abdominale Sonografie bei Hund und Katze - Modul 3: Ultraschalluntersuchung der Milz
Lage und Form der Milz hängen stark vom Füllungszustand des Magens sowie von der gespeicherten Blutmenge ab. Ein systematisches Vorgehen zur sicheren Identifizierung der Milz und zur Abgrenzung von benachbarten Organen ist daher entscheidend.
Herausgeberin: Univ.-Prof. Dr. Cordula Poulsen Nautrup (†)
Ehemals: Angewandte Anatomie im Lehrstuhl Anatomie, Histologie und Embryologie Veterinärwissenschaftliches Department
Ludwig-Maximilians-Universität München
Autorin: Dr. Verena Hocke
Ehemals: Angewandte Anatomie im Lehrstuhl Anatomie, Histologie und Embryologie Veterinärwissenschaftliches Department
Ludwig-Maximilians-Universität München
Autorin: Dr. Verena Hocke
![]() |
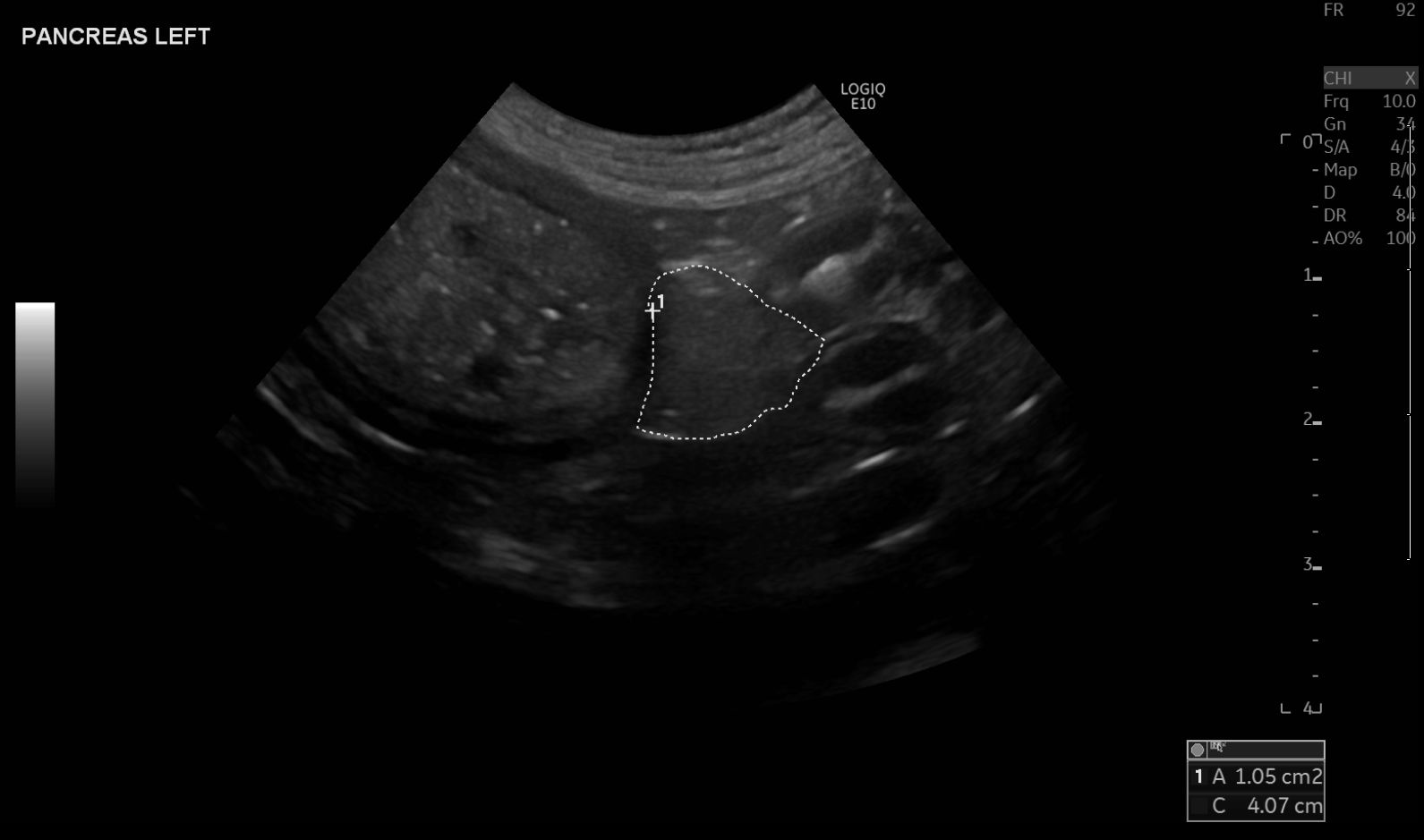
Abdominale Sonografie bei Hund und Katze - Modul 4: Ultraschalluntersuchung von Leber, Gallenblase und Pankreas
Die hepatobiliäre Untersuchung und die Sonografie des Pankreas umfassen die Darstellung der Längs- und Querebenen aller Organbereiche.
Herausgeberin: Univ.-Prof. Dr. Cordula Poulsen Nautrup (†)
Ehemals: Angewandte Anatomie im Lehrstuhl Anatomie, Histologie und Embryologie Veterinärwissenschaftliches Department
Ludwig-Maximilians-Universität München
Autorin: Dr. Verena Hocke
Ehemals: Angewandte Anatomie im Lehrstuhl Anatomie, Histologie und Embryologie Veterinärwissenschaftliches Department
Ludwig-Maximilians-Universität München
Autorin: Dr. Verena Hocke
![]() |
Abdominale Sonografie bei Hund und Katze - Modul 5: Ultraschalluntersuchung von Magen und Darm
Die Untersuchung des Gastrointestinaltraktes umfasst die Darstellung des Magens, des pyloroduodenalen Übergangs, des Duodenums, des Jejunums, des Ileums, des ileozäkalen Übergangs und des Kolons.
Herausgeberin: Univ.-Prof. Dr. Cordula Poulsen Nautrup (†)
Ehemals: Angewandte Anatomie im Lehrstuhl Anatomie, Histologie und Embryologie Veterinärwissenschaftliches Department
Ludwig-Maximilians-Universität München
Autorin: Dr. Jeannette Cremer
Ehemals: Angewandte Anatomie im Lehrstuhl Anatomie, Histologie und Embryologie Veterinärwissenschaftliches Department
Ludwig-Maximilians-Universität München
Autorin: Dr. Jeannette Cremer
![]() |
Abdominale Sonografie bei Hund und Katze - Modul 6: Ultraschalluntersuchung der männlichen und weiblichen Geschlechtsorgane
Die sonografische Untersuchung von Prostata, Hoden und Penis bei Rüden und Katern sowie die Die sonografische Untersuchung von Ovarien, Uterus und Gesäuge bei Hündinnen und Kätzinnen.
Herausgeberin: Univ.-Prof. Dr. Cordula Poulsen Nautrup (†)
Ehemals: Angewandte Anatomie im Lehrstuhl Anatomie, Histologie und Embryologie Veterinärwissenschaftliches Department
Ludwig-Maximilians-Universität München
Autorin: Dr. Jeannette Cremer
Ehemals: Angewandte Anatomie im Lehrstuhl Anatomie, Histologie und Embryologie Veterinärwissenschaftliches Department
Ludwig-Maximilians-Universität München
Autorin: Dr. Jeannette Cremer
![]() |
Abdominale Sonografie bei Hund und Katze - Modul 7: Ultraschalluntersuchung während der Trächtigkeit
Die sonografische Untersuchung dient auch zur Feststellung einer Trächtigkeit. Sowohl das Gestationsalter als auch die Vitalität der Welpen können so beurteilt werden. Eine verlässliche Bestimmung der Wurfgröße ist jedoch oft nicht möglich.
Herausgeberin: Univ.-Prof. Dr. Cordula Poulsen Nautrup (†)
Ehemals: Angewandte Anatomie im Lehrstuhl Anatomie, Histologie und Embryologie Veterinärwissenschaftliches Department
Ludwig-Maximilians-Universität München
Autorininnen: Dr. Annette Bruder, Univ.-Prof. Dr. Cordula Poulsen Nautrup
Ehemals: Angewandte Anatomie im Lehrstuhl Anatomie, Histologie und Embryologie Veterinärwissenschaftliches Department
Ludwig-Maximilians-Universität München
Autorininnen: Dr. Annette Bruder, Univ.-Prof. Dr. Cordula Poulsen Nautrup
Online-Seminare – Live-Termine
![]() |
6.5.26: Kompliziert war gestern: Aktuelles zur CNE bei Katzen
In diesem Online-Seminar stellt die Referentin Dr. Katarina Hazuchova, PhD, die aktuelle Studienlage vor und erläutert anhand von Fallbeispielen, wie Diagnostik bzw. Behandlung und Monitoring durchzuführen sind. Neben der medikamentösen Therapie wird auch auf die Ernährung bei diesen Patienten eingegangen.
Referentin: Dr. Katarina Hazuchova, PhD (Diplomate ECVIM-CA an der Justus-Liebig-Universität Gießen)
![]() |
17.6.26: Versorgung von Wildtieren: Recht, Praxis und Rehabilitation
Dieses Online-Seminar richtet sich an Tierärzt:innen und Studierende, die mehr Sicherheit im professionellen Umgang mit aufgefundenen Wildtieren gewinnen möchten. Freuen Sie sich auf eine kompakte, fundierte und praxisorientierte Fortbildung mit direktem Mehrwert für Ihren klinischen Alltag.
Referent: Prof. Dr. Michael Pees (Direktor der Klinik für Heimtiere, Reptilien und Vögel an der TiHo Hannover)
![]() |
16.9.26: Kaltplasma: Ein innovativer Schlüssel zur Wund- und Infektionsbehandlung
In unserem kompakten, praxisorientierten Online-Seminar erhalten Sie einen umfassenden Überblick über den Einsatz von Kaltplasma – einer Technologie, die in der Wundheilung und Infektionsbehandlung besondere Fortschritte ermöglicht. Erleben Sie, wie Kaltplasma nicht nur die Heilung beschleunigt, sondern auch effektiv Infektionen bekämpft – und das bei minimaler Belastung für den Patienten und das Gewebe.
Referentin: Tamara Weitzer (Diplomate ECVD und ACVD an dem Departement für klinische Veterinärmedizin, Klinische Dermatologie, der Universität Bern)
![]() |
2.12.26: Thorax im Notfall – kein Grund zu hyperventilieren
In diesem Online-Seminar lernen Tierärzt:innen das notwendige Know-how, um Thorax-Röntgenaufnahmen sicher zu interpretieren und zielgerichtete, lebensrettende Maßnahmen zeitnah einzuleiten. Prof. Dr. Patrick Kircher führt Sie durch die wichtigsten Schritte der Thorax-Diagnostik in Notfallsituationen.
Referent: Prof. Dr. Patrick Kircher, Direktor der Klinik für Bildgebende Diagnostik am Tierspital Zürich
Online-Seminare – Aufzeichnungen
![]() |
Innere Medizin
![]() |
Alarm im Darm: Fallbeispiele aus der Praxis zur Gastroenterologie
Vor der Arbeit viermal Gassi: Hunde und Katzen mit Magen-Darm-Erkrankungen können Tierbesitzern Schlaf und Nerven rauben. Chronischer, therapieresistenter Durchfall oder wiederkehrendes Erbrechen machen einen stressigen Alltag schnell zum Albtraum, schüren Sorge und wecken den Wunsch nach einer zügigen Besserung.
Referent: Prof. Dr. Stefan Unterer (Direktor der Klinik für Kleintiermedizin an der Vetsuisse-Fakultät der Universität Zürich)
![]() |
Steinreich: Fallbeispiele zur Urolithiasis beim Hund
Urolithiasis ist eine weitverbreitete Ursache von Erkrankungen der ableitenden Harnwege bei Kleintieren. Doch Stein ist nicht gleich Stein: die verschiedenen Arten unterscheiden sich nicht nur in ihrer Zusammensetzung, sondern auch in ihrer Therapie und v. a. Prophylaxe – da ist richtiges Vorgehen gefragt. Die diagnostischen und therapeutischen Möglichkeiten haben sich in den letzten Jahren stetig weiterentwickelt. Aber an was ist alles zu denken?
Referent: Prof. Dr. Reto Neiger (Tiermedizinischer Direktor/Country Medical Director bei IVC Evidensia DACH Gruppe)
![]() |
Pankreatitis beim Hund – eine diagnostische Herausforderung: Fallbeispiele zu Symptomen, Diagnose und Therapie
Die Pankreatits stellt für den Tierarzt eine diagnostische Herausforderung dar. Stefan Unterer erläutert mit anschaulichen Fallbespielen die Schwierigkeiten bei der Diagnose, zeigt unterschiedliche Krankheitsverläufe anhand praktischer Fallbeispiele und klärt über Therapiemöglichkeiten auf.
Referent: Prof. Dr. Stefan Unterer (Direktor der Klinik für Kleintiermedizin an der Vetsuisse-Fakultät der Universität Zürich)
![]() |
Wenn Nieren langsam schlapp machen: ein Update zur chronischen Nierenerkrankung bei Katzen
In diesem Online-Seminar wird erklärt, was im frühen und im späten Stadium der Nierenerkrankung zu beachten ist und welche Diagnostik wann durchgeführt werden sollte, um der Erkrankung zeitnah auf die Schliche zu kommen. Anhand vieler Literaturangaben erläutert Reto Neiger, was nach dem aktuellen Stand der Wissenschaft zu beachten und wie die Diagnostik und Therapie zu gestalten ist.
Referent: Prof. Dr. Reto Neiger (Tiermedizinischer Direktor/Country Medical Director, IVC Evidensia DACH Gruppe)
![]() |
Chaos im Darm: Fallbeispiele zur Enteropathie beim Hund
In diesem Online-Seminar zeigen zwei anschauliche Fallbeispiele, was bei der Ursachenfindung und Behandlung chronischer Enteropathie zu beachten ist. Darüber hinaus wird auf die Futtermittel-responsive Darmerkrankung und Cobalamin-Mangelzustände eingegangen. Auch Rasseprädispositionen werden angerissen.
Referentin: Prof. Dr. Romy Monika Heilmann (Universitätsprofessorin; Innere Medizin der Kleintiere der Universität Leipzig)
![]() |
Kardiologie
![]() |
Unter Wasser: dos and don´ts in der Diuretikatherapie
Hier erfahren Sie die wichtigsten Fragen rund um den Einsatz von Diuretika unter Berücksichtigung der aktuellen Erkenntnisse zu Therapiemöglichkeiten.
Referentin: Nicola Wiedemann (Dipl. ECVIM – CA (Cardiology); Oberärztin Kardiologie; AniCura Kleintierspezialisten, Augsburg)
![]() |
Orthopädie und Chirurgie
![]() |
Die Kastration des Rüden – was wissen wir heute?
Die Kastration des Rüden ist ein Thema, bei dem viele Hundehalter in einer Tierarztpraxis um Rat fragen. Einige Besitzer erhoffen sich, dass der Alltag und Umgang mit dem Tier einfacher wird. Andere haben Angst vor Erkrankungen und wünschen sich eine ausführliche Beratung vom Tierarzt. Doch was empfehlen Sie?
Referentinnen: Prof. Dr. Sandra Goericke-Pesch (Fachtierärztin für Zuchthygiene und Biotechnologie der Fortpflanzung, Diplomate des European College for Animal Reproduction (ECAR), Professorin für Reproduktionsmedizin an der Stiftung Tierärztlichen Hochschule Hannover); Sophie Strodtbeck (Tierärztin, Dozentin, Autorin und Verhaltensmedizinerin)
![]() |
Frühlingsgefühle adé?
Ob Gewichtszunahme, Inkontinenz oder Fellveränderungen: Dieses Online-Seminar verschafft Ihnen einen Überblick über Indikationen, mögliche Nebenwirkungen sowie Alternativen zur operativen Kastration.
Referentin: Prof. Dr. Sandra Goericke-Pesch (Fachtierärztin für Zuchthygiene und Biotechnologie der Fortpflanzung Diplomate des European College for Animal Reproduction (ECAR) Professorin für Reproduktionsmedizin an der TiHo Hannover)
![]() |
Lahmheiten auf der Spur: Praxisnahe Fälle zur Diagnostik und Therapie von orthopädischen Erkrankungen
Ob Muskelabriss, genetische Ursache oder chronisches Problem: Dieses Online-Seminar hilft Ihnen ein besseres Feeling für mögliche Ursachen und die richtige Therapie von orthopädischen Erkrankungen zu bekommen. Haben Sie Lust auf eine spannende Fortbildung mit vielen interessanten Fallbeispielen rund um humpelnde Pfoten?
Referent: Prof. Dr. Stephan Neumann (Leiter der Kleintierklinik an der Universität Göttingen, Fachtierarzt für Kleintiere, Fachtierarzt für Labordiagnostik Dipl. ECVCP)
![]() |
Neurologie
![]() |
Von Anfällen und Ängsten …
Was für ein Zusammenhang besteht zwischen Epilepsie und Verlustangst? In diesem Online-Seminar stellt die Neurologin Dr. Nina Meyerhoff die aktuelle Studienlage vor und erläutert anhand von videobasierten Fallbeispielen wie unterschiedlich epileptische Anfälle in Erscheinung treten und sich Hunde verhalten, die unter Verlustängsten leiden. Zudem wird ausführlich auf die Therapie der Epilepsie und Unterstützungsmaßnahmen bei verlustängstlichen Hunden eingegangen.
Referentin: Dr. Nina Meyerhoff, Diplomate ECVN an der Stiftung Tierärztliche Hochschule Hannover
![]() |
Chaos im Kopf: Fallbeispiele aus der Praxis zur Epilepsie
Vom stolpernden Dackel, über den ataktischen Perser bis zum krampfenden Dalmatiner: Epileptische Anfälle bei Hunden und Katzen äußern sich auf unterschiedliche Weise und sehen für den Besitzer oft bedrohlich aus. Entsprechend groß ist die Verunsicherung: Wann ist es wieder soweit? Können wir unser Tier noch allein lassen? Und kann ein Anfall auch lebensbedrohlich sein?
Referent: Prof. Dr. Holger A. Volk (Diplomate of the European College of Veterinary Neurology, Leiter der Kleintierklinik an der Stiftung Tierärztlichen Hochschule Hannover.)
![]() |
Alter ist keine Krankheit - das Kognitive Dysfunktionssyndrom beim Hund
In diesem Online-Seminar erläutert Holger Volk, welche klinischen Symptome in Erscheinung treten können, wie diese Erkrankung diagnostiziert wird und welche Therapiemöglichkeiten zur Verfügung stehen.
Referent: Prof. Dr. Holger Volk (Diplomate of the European College of Veterinary Neurology; Leitung der Kleintierklinik an der Stiftung Tierärztlichen Hochschule Hannover)
![]() |
Das Gehirn ist, was Hund frisst – zusätzliche Optionen für die Epilepsiebehandlung
In diesem Online-Seminar erläutert unser Referent Holger Volk, welchen Einfluss bestimmte Futtermittelzusätze, insbesondere mittelkettige Fettsäuren auf die Anfallshäufigkeit bei Hunden mit idiopathischer Epilepsie haben. Hierfür fasst er die Ergebnisse aktueller Studien zusammen und erläutert, welche Wirkungsweisen diesem Phänomen zugrunde liegen.
Referent: Prof. Dr. Holger A. Volk (Diplomate of the European College of Veterinary Neurology; Leitung der Kleintierklinik an der Stiftung Tierärztlichen Hochschule Hannover)
![]() |
Von Aussetzern und Anfällen – Spannende Fälle rund um die Epilepsie bei Hund und Katze
Dieses Online-Seminar zeigt Ihnen wie mit krampfenden Patienten umzugehen ist, was medizinisch getan werden kann und welche Therapie die richtige ist. Wenn Sie Lust auf eine spannende Fortbildung mit vielen lehrreichen Fällen rund um die Epilepsie haben, dann seien Sie dabei!
Referent: Prof. Dr. Holger A. Volk (Diplomate of the European College of Veterinary Neurology; Leitung der Kleintierklinik an der Stiftung Tierärztlichen Hochschule Hannover)
![]() |
Ernährung
![]() |
Mal juckt der Pelz, mal rumpelt der Bauch: Fallbeispiele zu Futtermittelallergien und -unverträglichkeiten
Futtermittelallergien und -unverträglichkeiten können nicht nur für den Hundebesitzer, sondern auch für den Tierarzt ein frustrierendes Thema sein. Anhand von Fallbeispielen erläutert Anne Mößeler-Witte, was bei diesen Problempatienten nach dem aktuellen Stand der Wissenschaft zu beachten und wie die Diagnostik und Diätetik bei Futtermittelallergien und -unverträglichkeiten zu gestalten ist.
Referentin: PD Dr. med. vet. Anne Mößeler-Witte (Fachtierärztin für Tierernährung und Diätetik, DECVCN)
![]() |
Ernährung von Intensivpatienten
Optimal ernährte Intensivpatienten haben eine bessere Chance wieder auf die Beine zu kommen. Doch wie viele Kalorien benötigen diese Tiere überhaupt? Welches Futter eignet sich für sie und wie können Futterverweigerer ernährt werden? Tiere, die nicht selbstständig fressen wollen, müssen zwangsernährt werden ?
Was beim Einsatz von Fütterungssonden zu beachten ist und wie Sie Fehler vermeiden können besprechen wir in diesem Online-Seminar.
Was beim Einsatz von Fütterungssonden zu beachten ist und wie Sie Fehler vermeiden können besprechen wir in diesem Online-Seminar.
Referent: Dr. René Dörfelt (Medizinische Kleintierklinik der LMU-München)
Co-Referentin: Dr. Claudia Rade
Co-Referentin: Dr. Claudia Rade
![]() |
Analgesie
![]() |
Der perioperative Schmerzpatient
Schmerzen sind nicht nur ein ethisches, sondern auch ein medizinisches Problem: Sie können dazu führen, dass Wunden schlechter heilen, die Durchblutung sich verringert und Patienten anfälliger für Infektionen werden. Daher sprechen wir in diesem Online-Seminar über die Schmerzerkennung und -behandlung vor, während und nach einer Operation.
Referentin: Prof. Dr. Sabine Tacke (Justus-Liebig-Universität Gießen)
![]() |
Initiative tiermedizinische Schmerztherapie: Therapie chronischer Schmerzen bei Hund und Katze
Sabine Tacke spricht über die multimodale Schmerztherapie als zentrales Konzept bei der Behandlung chronischer Schmerzen und geht dabei sowohl auf eine Kombination verschiedener Wirkstoffe ein, als auch auf die Integration weiterer Methoden wie Gewichtsreduktion oder Physiotherapie.
Referentin: Prof. Dr. Sabine Tacke (Justus-Liebig-Universität Gießen)
![]() |
Verhaltenskunde
![]() |
Wenn Patienten fauchen …
In diesem Online-Seminar geben wir praktizierenden Tierärzten Anregungen zum Umgang mit Problempatienten und erläutern, wie Sie Besitzer mit auffälligen Tieren beraten können.
Haben Sie Lust auf eine spannende Fortbildung rund um das Angst- und Aggressionsverhalten von Katzen? Dann seien Sie dabei!
Haben Sie Lust auf eine spannende Fortbildung rund um das Angst- und Aggressionsverhalten von Katzen? Dann seien Sie dabei!
Referentin: Dr. Kerstin Röhrs (Fachtierärztin für Verhaltenskunde und Zusatzbezeichnung Verhaltenstherapie)
![]() |
Dermatologie und Onkologie
![]() |
Heimtiere/Kleinsäuger
![]() |
Wenn Kaninchen nicht fressen… Interessante Fälle rund um die Inappetenz beim Kaninchen
Die Ursachen für Inappetenz beim Kaninchen können vielfältig sein, denn viele Krankheitsbilder führen beim Kaninchen zu einer reduzierten oder gänzlich eingestellten Futteraufnahme. Dieses Webinar zeigt Ihnen anhand relevanter Fallbeispiele wie Sie diagnostisch und therapeutisch vorgehen können.
Referentinnen: Dr. Yvonne Eckert (Klinik für Heimtiere, Reptilien, Zier und Wildvögel der TiHo Hannover) und Dr. Milena Thöle (Heimtierspezialistin in der Tierklinik Posthausen)
![]() |
Exoten
![]() |
Sonstiges
![]() |
Zwischen Mitgefühl und Professionalität: Tod und Trauer in der Tierarztpraxis
Für Tierärzte, Tierärztinnen und das Praxispersonal ist die Euthanasie ein Balanceakt: Einerseits gilt es, das Tier würdevoll zu erlösen, andererseits den Besitzern in ihrer Trauer angemessen zu begegnen – ohne dabei die eigenen Grenzen zu überschreiten. Nicht zuletzt sind auch immer noch administrative Dinge zu klären.
Doch wie gelingt es, empathisch und zugleich professionell zu bleiben? Welche Worte und Gesten helfen den Tierbesitzern wirklich? Und wie schützt man sich vor emotionaler Überlastung?
Doch wie gelingt es, empathisch und zugleich professionell zu bleiben? Welche Worte und Gesten helfen den Tierbesitzern wirklich? Und wie schützt man sich vor emotionaler Überlastung?
Referent: Mag. med. vet. Christian Gruber, Tierarzt und Trauercoach
Wissenschaftliches Schreiben - Grundlegendes
Haben Sie Lust am wissenschaftlichen Schreiben? Dann schauen Sie sich gratis unser Online-Seminar an. Wir wollen allen an wissenschaftlichem Schreiben Interessierten erste Werkzeuge mit an die Hand geben und ihnen eine eventuell vorhandene Scheu nehmen, ihre Erkenntnisse in einem Journal zu veröffentlichen.
Referentin: Dr. Karin Lason
Fortbildungen der Fachzeitschriften
![]() |
ATF-anerkannte Fortbildungen: Kleintierpraxis
![]() |
Hypodontie beim Hund: Drei Fallberichte
Es ist wichtig, in der klinischen Untersuchung ein besonderes Augenmerk auf die Vollständigkeit des Gebisses zu legen, um bei Abweichungen frühzeitig weitere diagnostische Schritte in die Wege leiten zu können. Dieser Übersichtsartikel beschreibt das klinische Bild sowie die Diagnosestellung mittels Dentalröntgen und/oder Computertomografie von drei Hunden mit Hypodontie und deren Therapie.
Autorin: Miriam Rupp (Angestellte Tierärztin bei der Tierklinik Kalbach)
![]() |
Bildgebende Diagnostik von endokrinen Organen in der Kleintierpraxis – Teil 2: Hypophyse, Nebennieren und Pankreas
Dieser zweite Artikel zur bildgebenden Diagnostik endokriner Organe in der Kleintierpraxis bietet grundlegende Einblicke in die Bildgebung der Hypophyse, Nebennieren und Pankreas. Es werden praxisnah die Möglichkeiten und Grenzen der verschiedenen bildgebenden Modalitäten beleuchtet und Empfehlungen für die Anwendung im klinischen Alltag dargestellt.
Autorin: Dr. Ursula Teubenbacher (Mag., Dr. med. vet., Resident ECVDI an dem Universitären Tierspital Zürich)
![]() |
Xylit-Intoxikation beim Kleintier – eine Übersicht mit Fallserie
Der Zuckerersatzstoff Xylit erfreut sich in den letzten Jahren zunehmend größerer Beliebtheit und ist in vielen Produkten und Nahrungsmitteln für den Menschen enthalten. Da er allgemein als unbedenklich gilt, ist vielen Tierbesitzern sein toxisches Potenzial gar nicht bewusst. Der Artikel gibt einen Überblick über die Xylit-Toxizität bei Hunden (und Katzen) und fasst klinische Daten einer Fallserie zur Xylit-Toxizität bei 32 betroffenen Hunden zusammen.
Autorin: Prof. Dr. Romy M. Heilmann (Dipl. ACVIM (SAIM), Dipl. ECVIM-CA, MANZCVS, Ph.D., AGAF Veterinärmedizinische Fakultät Leipzig)
![]() |
Bildgebende Diagnostik von endokrinen Organen in der Kleintierpraxis – Teil 1: Thyroidea, Parathyroidea
Dieser erste Artikel zur bildgebenden Diagnostik endokriner Organe in der Kleintierpraxis bietet grundlegende Einblicke in die Bildgebung der Schilddrüse (Thyroidea) und der Nebenschilddrüsen (Parathyroidea). Neben der topografischen Anatomie wird ausführlich auf die physiologische und pathologische Darstellung eingegangen.
Autorin: Dr. Ursula Teubenbacher (Mag., Dr. med. vet., Resident ECVDI an dem Universitären Tierspital Zürich)
![]() |
Drogenintoxikation beim Hund – eine Literaturübersicht
Drogenintoxikationen sind eine wichtige Differenzialdiagnose bei Hunden mit plötzlichen Verhaltensänderungen und neurologischen Symptomen. In diesem Übersichtsartikel werden Symptome, Diagnostik, Therapie und Prognose bei Intoxikationen mit Cannabis, Kokain, Opioiden, Barbituraten und Amphetaminen beim Hund beschrieben.
Autorin: Dr. Christiane Weingart (Fachtierärztin für Kleintiere an der Klein- und Heimtierklinik der FU Berlin)
![]() |
ABCB1-Mutation – den Einfluss der MDR1-Genmutation auf den Gebrauch von Sedativa und Anästhetika beim Hund verstehen
Anästhetika penetrieren die Blut-Hirnschranke und Nebenwirkungen sind potenziell lebensbedrohlich. Dieser Artikel analysiert Arzneimittel, die in der Veterinäranästhesie eingesetzt werden hinsichtlich ihrer Sicherheit bei Tieren mit ABCB1-Mutationen. Insbesondere wird die wissenschaftliche Evidenz beleuchtet, um potenzielle Risiken abzuschätzen, und die Möglichkeiten einer sicheren Anwendung der jeweiligen Substanzen bei betroffenen Tieren werden evaluiert.
Autorin: Dr. Larissa Irina Mattei (Angestellte Tierärztin der klinischen Anästhesiologie an der Vetsuisse Fakultät, Universität Bern)
![]() |
Gewichtsreduktion beim Hund
Übergewicht bei Hunden ist ein ernst zu nehmendes gesundheitliches und auch tierschutzrechtliches Problem, welches je nach Literaturangabe bis zu knapp 50 % aller Hunde in Deutschland betrifft – mit steigender Tendenz. Es verursacht u. a. Herz-Kreislauf-Erkrankungen, Diabetes mellitus, Gelenkprobleme und eine bis zu drei Jahren verkürzte Lebenszeit. Hauptursache ist eine zu hohe Energiezufuhr durch übermäßige Futteraufnahme (insbesondere Kauartikel und Belohnungen) und unzureichende Bewegung.
Referent: Prof. Dr. Holger A. Volk (Diplomate of the European College of Veterinary Neurology, Leiter der Kleintierklinik an der Stiftung Tierärztlichen Hochschule Hannover.)
![]() |
Canine atopische Dermatitis – ein Update
Die häufigste Diagnose bei Hunden mit dermatologischen Symptomen ist die canine atopische Dermatitis. In diesem Artikel werden neue Definitionen, verschiedenen Faktoren der Pathogenese der humanen und caninen atopischen Dermatitis sowie die Diagnose und Therapie detailliert diskutiert.
Autorin: Laura Widorn (Tierärztin und Resident Dermatology an der Kleintierklinik der LMU München)
![]() |
Zahnerkrankungen beim Heimkaninchen – Therapiemöglichkeiten, Prognosen und Verlauf
Die Therapie von Zahnerkrankungen stellt den behandelnden Tierarzt häufig vor eine große Herausforderung. Die Behandlung dieser chronischen Patienten ist meist sehr langwierig und erfordert neben regelmäßigen Kontrollen ein hohes Maß an Durchhaltevermögen und Besitzercompliance
Autorinnen: Dr. Milena Thöle (Fachtierärztin für Kleinsäuger/Heimtiere Tierklinik Posthausen); Dr. Yvonne Eckert (Fachtierärztin für Kleinsäuger/Heimtiere Tierärztliches Zentrum Herford)
![]() |
Alternative Proteinquellen in der Hundefütterung
In der Fütterung von Hunden kommen in den letzten Jahren vermehrt neue Ernährungstrends auf. Sowohl im Rahmen der Suche nach alternativen Proteinquellen als auch beim diätetischen Management von allergischen Reaktionen auf Futterproteine rücken zunehmend alternative Proteinträger in den Fokus. Dieser Artikel gibt einen Überblick über verschiedene alternative Proteinquellen und deren Einsatzgebiete in der Hundefütterung.
Autorin: Dr. Cornelia Rückert, Fachtierärztin für Tierernährung und Diätetik
![]() |
ATF-anerkannte Fortbildungen: Die Praktische Tierärztin
![]() |
Diagnostik und Management der Harninkontinenz beim Hund
Dieser Fortbildungsartikel fasst anhand der American College of Veterinary Internal Medicine Konsensus-Richtlinien den aktuellen Wissensstand über die Harninkontinenz des Hundes praxisgerecht zusammen. Neben Anatomie und Physiologie wird ausführlich auf die Diagnostik und Therapie eingegangen.
Autor: Dr. Dr. Peter Pantke (AniCura Ahlen, Fachzentrum für Kleintiere)
![]() |
Dermatophytosen bei Hund und Katze
Die Dermatophytose ist eine oberflächliche Hauterkrankung, welche insbesondere durch Microsporum, Trichophyton und Nannizia species verursacht wird. Die Erkrankung betrifft alle Haustiere, ist aber aufgrund des engen Kontaktes mit dem Menschen und wegen des zoonotischen Potenzials bei Hund, Katze und Heimtieren besonders wichtig. Ziel des Artikels ist es eine Übersicht über die aktuellen diagnostischen Möglichkeiten zu liefern und relevante praktische Richtlinien zu geben.
Autor: Felix Widorn (Ludwig-Maximilians-Universität München)
![]() |
Das Widderkaninchen: Tierschutz- und Gesundheitsaspekte
Widderkaninchen sind beliebt, allerdings können die für diese Tiere so typischen Hängeohren das Tierwohl zum Teil stark beeinträchtigen. Der Artikel fasst die aktuellen wissenschaftlichen Kenntnisse, die es derzeit zu Tierwohl und Tiergesundheit bei diesen Tieren gibt, zusammen und wirft einen kritischen Blick auf die Rolle der Medien. Weiterer Schwerpunkt sind Besonderheiten zum Umgang mit diesen Kaninchen in der Tierarztpraxis.
Autorin: Michaela Fels (Fachtierärztin für Tierschutz und Tierverhalten)
![]() |
Akute Blindheit – SARDS beim Hund
Das Sudden Acquired Retinal Degeneration Syndrom (SARDS) ist eine kanine Erkrankung, deren Pathogenes noch immer nicht vollständig geklärt ist. Sie führt zu einer akuten, bilateralen, persistierenden Blindheit der Tiere. Anhand eines Fallberichts zeigen die Autoren, welche diagnostischen Untersuchungen zum Goldstandard gehören oder sinnvoll sind und ob es Therapieoptionen es gibt. Zudem beschreiben sie, auf was man bei betroffenen Patienten achten muss und was bei der Kommunikation mit den Tierhaltern wichtig ist.
Autorin: Madeleine Schulz (Tierklinik Anicura Stuttgart GmbH)
![]() |
Primärer Hyperaldosteronismus – Morbus Conn
Der primäre Hyperaldosteronismus gilt als häufigste Nebennierenerkrankung der Katze, dennoch gilt sie bis zum heutigen Tage als unterdiagnostiziert. Dabei ist gerade eine frühzeitige Diagnose wichtig, da sowohl die chirurgische als auch konservative Behandlung die Lebensqualität betroffener Katzen deutlich verbessern und verlängern kann. Aus diesem Grund sollten Tierärzte bezüglich Existenz, Symptomen und Befunden des Hyperaldosteronismus sensibilisiert werden. Anhand eines Fallberichts geben die Autoren nützliche Hinweise für die Aufarbeitung solcher Fälle.
Autor: Peter Christian Ponn (Angestellter Tierarzt in der AniCura Recklinghausen GmbH)
![]() |
Einreise mit Tieren in die EU: Quarantäne vermeiden!
Die Quarantänisierung von Heimtieren bei fehlenden Einfuhrvoraussetzungen verursacht vielfaches Tierleid, da die Tiere vom Einführenden getrennt und aus ihrem gewohnten Umfeld genommen werden. Bis zur Erfüllung der Einreisebedingungen können mehrere Monate vergehen. Vor allem für Welpen hat dies in der kritischen Sozialisierungsphase dramatische Folgen. Wenngleich dem praktizierenden Tierarzt keine Verantwortung an der Quarantänisierung zugeschrieben werden darf, so kann er doch durch Aufklärung und Beratung entscheidend Einfluss nehmen.
Autorin: Dr. Mirja Koy (Amtstierärztin bei der Region Hannover Team Veterinärwesen)
![]() |
Tierschutzprobleme in der Morphenzucht von Reptilien
Die Zucht von Reptilien hat sich vor allem in den letzten 20 Jahren weltweit deutlich intensiviert. Dabei liegt der Fokus zunehmend auf der selektiven Zucht neuartiger Farb- und Zeichnungsmutationen sowie auf Veränderungen der Haut- und Schuppenstruktur.
Autorin: Silvia Blahak (Fachtierärztin für Virologie, Zusatzbezeichnung Reptilien und Amphibien
![]() |
Die kardiopulmonäre Wiederbelebung und intensivmedizinische Nachsorge beim Kleintier
Ein Herz-Kreislauf-Stillstand ist eine gefürchtete und, wenn nicht adäquat behandelt, fatale Komplikation. Ein rasches Erkennen eines Arrestes (< 10–15 Sekunden) und ein sofortiges Einleiten des Basic Life Supports sind die Voraussetzungen für die Wiedererlangung einer Herz-Kreislauf-Funktion.
Autorin: Nicole Weingand (Diplomate des European College of Veterinary Emergency and Critical Care)
![]() |
Vorsicht beim Kuscheln! – Zoonoseerreger bei Heimtieren
Die Arbeit gibt einen Überblick über die wichtigsten, bei Heimtierratten nachgewiesenen Zoonoseerreger und die dazugehörigen Krankheiten. Fallbeispiele verdeutlichen anschaulich die Problematik. Abgerundet wird das Ganze mit praktischen Hinweisen zu Schutzmaßnahmen, wie eine Übertragung von Erregern von Heimtierratte auf den Menschen vermieden werden kann. Diese Hinweise sollen tiermedizinisch und humanmedizinisch Praktizierenden, aber auch Tierhaltern als Aufklärungshilfe dienen und bei der Infektionsprävention helfen.
Autorin: PD Dr. Merle M. Böhmer (Bayerisches Landesamt für Gesundheit und Lebensmittelsicherheit)
![]() |
Rechtliche Rahmenbedingungen zur Homöopathie
Trotz kontroverser Diskussionen zur Sinnhaftigkeit und nicht zuletzt der Abschaffung der Weiterbildung „Homöopathie“ in einigen humanmedizinischen Landesärztekammern, bleibt die Homöopathie eine weiterhin vielfach genutzte Therapierichtung. Seit dem Inkrafttreten des neuen Tierarzneimittelrechts gelten für Tierhomöopathika weiterhin einige rechtlichen Erleichterungen. Dieser Beitrag soll eine Übersicht zu den aktuell geltenden rechtlichen Bestimmungen zum Einsatz von Homöopathika bei Tieren geben.
Autorin: Prof. Sonja Bröer, PhD (Freie Universität Berlin)
![]() |
Update zur Therapie des Diabetes mellitus bei Hund und Katze – Teil 2: Nicht-insulinbasierte Therapieoptionen
Während in Teil 1 des Artikels die Behandlung mit Insulinen ausführlich beschrieben wurde, konzentriert sich der vorliegende zweite Teil auf nicht-insulinbasierte Behandlungsoptionen des Diabetes mellitus (DM) bei Kleintieren.
Autorin: Dr. Kim-Lina Charlotte Zelmer (Klinik für Kleintiere, Justus-Liebig-Universität Gießen)
Über uns
Ihr Kundensupport
![]() |
Foto: niroworld - Fotolia.com |
Haben Sie Fragen zur Anmeldung, Ihrem Benutzerkonto oder zu Zertifikaten? Dann freuen wir uns auf Ihre Nachricht!
Schreiben Sie Ihr Anliegen per E-Mail an
info@vetline-akademie.de
Schreiben Sie Ihr Anliegen per E-Mail an
info@vetline-akademie.de
Jennifer Strangalies — Ihre Ansprechpartnerin für Fortbildungen in der vetline-Akademie
Haben Sie inhaltliche Fragen, Themenwünsche oder Anregungen? Dann freue ich mich auf Ihre Nachricht! Telefon 0511 8550-2427 strangalies@schluetersche.de Als angestellte Tierärztin bin ich Chefredakteurin der Fachzeitschrift Kleintierpraxis und Leitung der vetline-Akademie im Bereich Tiergesundheit der Schlütersche Fachmedien GmbH. Neben der beruflichen Leidenschaft für die veterinärmedizinische Wissenschaft, insbesondere die der Kleintiere, bin ich selbst Hunde- und Katzenbesitzerin. | |||








































































